Плантарный фасциит – заболевание, провоцирующее довольно интенсивный болевой синдром в области пятки. Симптом развивается постепенно и проявляется чаще всего при нагрузке на пораженную область.
Без лечения состояние может привести к образованию костного нароста на пяточной кости.
Особенности заболевания
Апоневроз или подошвенная фасция крепится к головкам суставов плюсневого ряда, а также к пяточному бугру, за счет чего и осуществляется поддержка продольного свода.
При стоянии примерно половина веса переносится на указанную часть стопы, создавая на нее соответствующее давление. Причем наибольшее напряжение приходится на область крепления ткани к кости.
При постоянной нагрузке могут случаться микроразрывы тканей фасции. В нормальном состоянии они подвергаются регрессу без необходимости внешнего воздействия, но в ряде случаев регулярная травматизация способна стать причиной проявления воспалительных процессов в апоневрозе, которые будут носить асептический характер, то есть без участия патогенов.
Протекают они на хронической основе с сохранением болей. В такой ситуации срабатывают компенсаторные процессы в месте негативного воздействия и на кости образовываются остеофиты – разрастания, которым в народе дают название «
пяточная шпора
».
Причины
Мнение врачей:
Плантарный фасциит – это воспалительное заболевание плантарной фасции стопы, которое часто возникает из-за перегрузки или травмы. Врачи отмечают, что основным механизмом развития плантарного фасциита является микротравма и воспаление плантарной фасции из-за чрезмерного нагрузки на стопу. Симптомы этого заболевания включают боль в области пятки, особенно при первых шагах после сна или длительного отдыха. Лечение плантарного фасциита обычно включает ношение ортопедической обуви, физиотерапию, упражнения на растяжку плантарной фасции и при необходимости применение противовоспалительных препаратов. Важно обратиться к специалисту для точного диагноза и назначения эффективного лечения.
https://www.youtube.com/embed/prs_DqCtXxY
Причины
Пяточная шпора проявляется чаще всего после 40 лет, причем чаще всего у женщин. Шансы на возникновение подобного разрастания повышаются, если у больного в анамнезе присутствуют следующие факторы риска:
- Избыточный вес;
- Плоскостопие;
- Болезни позвоночного столба;
- Травмы пятки;
- Артриты;
- Болезни крупных суставов нижних конечностей;
- Подагра;
- Нарушенное кровообращение в нижних конечностях.
Примечательно, что плантарный фасции часто встречается у спортсменов, а также у людей, которые испытывают повышенные нагрузки на область пятки.
На фото фасциит
Симптомы
Основным симптомом плантарного фасциита является наличие болевого синдрома, который либо возникает при нагрузке, либо просто усиливается. Причем боль проявляется наиболее интенсивно в утреннее время. Остальные признаки могут отсутствовать, потому требуется проведение качественной диагностики.
https://www.youtube.com/embed/udHY7uPESjs
Опыт других людей
Плантарный фасциит – это распространенное заболевание стопы, вызванное воспалением связки, соединяющей пяточную кость с пальцами. Люди, столкнувшиеся с этим недугом, часто описывают ощущение острой боли в области пятки, особенно при первых шагах после сна или длительного отдыха. Механизм развития плантарного фасциита связан с перегрузкой стопы, неправильной обувью или плоскостопием. Для облегчения симптомов рекомендуется применение холодных компрессов, ношение поддерживающей обуви и регулярные упражнения для укрепления мышц стопы. В некоторых случаях может потребоваться физиотерапия или инъекции кортикостероидов. Важно обратиться к врачу для точного диагноза и назначения эффективного лечения.
Диагностика
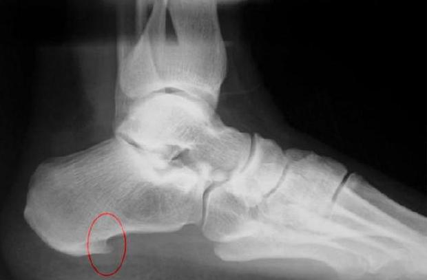
Для постановки диагноза обычно врачу достаточно выслушать жалобы пациента, провести осмотр и сделать рентген пораженной области. На рентгене определяется пяточная шпора, являющаяся костным наростом.
Если такового нет на снимке, то требуется дополнительно провести дифференциальную диагностику для исключения системных заболеваний вроде ревматоидного артрита, синдрома рейтера и других подобных состояний.
Важно! Плантарный фасции часто осложняется переломами
остеофитов
, что может существенно ухудшать состояние больного.
https://www.youtube.com/embed/jGMjf5YIyX4
Лечение плантарного фасциита
Терапия у больных чаще всего опирается на консервативные методики в домашних условиях. К хирургическим манипуляциям обращаются редко и только по показаниям.
Добиться полного выздоровления возможно, если устранить параллельно лечению и основные факторы риска.
Консервативное
Для консервативного лечения требуется применение ряда медикаментов:
- Согревающие растирки – мази, бальзамы и так далее;
- НПВС местного типа – мази, крема и гели;
- Местное введение кортикостероидов.
Последние применяются при выраженной симптоматике, когда воспаление не удается устранить другими препаратами.
Важно! В редких случаях могут принять решение провести гамма-терапию (применяется обычно в онкологии) с помощью соответствующих радиотерапевтических установок вроде РОКУС-АМ.
Плантарный фасциит на рентгеновском снимке
Физиотерапия
Физиотерапия будет актуальна на любой стадии, но подбор конкретных методик будет зависеть от того, насколько выражено состояние. Так чаще всего используют:
Для более сложных случаев могут назначать лазерную терапию, ультразвук, УВ-терапию. Также помогут справиться с плантарным фасциитом электрофорез и фонофорез.
Важно! Несмотря на то, что больным рекомендуется снизить нагрузку на пораженную область,
упражнения
ЛФК является одним из немногих методов, позволяющих не только устранить симптоматику, но и предотвратить прогрессирование состояния.
Хирургические
Если консервативное лечение и физиотерапия не дал результатов, то в таком случае уже поднимается вопрос о том, чтобы провести хирургическое вмешательство.
Делается оно для того, чтобы устранить физически остеофиты, либо чтобы сделать иссечение измененных тканей. Проводится такое воздействие как классическими методами, так и эндоскопическими при малом доступе к оперируемой поверхности.
Ортопедические стельки
Чтобы уменьшить давление на пяточный бугор и поддержать продольный свод стопы, врачи в обязательном порядке назначают стельки-супинаторы, а также специальные вкладыши, имеющие углубление в области пятки.
Такие изделия подойдут для использования в период консервативного лечения при ношении обуви.
В ортопедии также применяются и специальные сапожки-ортезы, с помощью которых проводится жесткая фиксация и правильное распределение нагрузки на стопу.
Причем стопа фиксируется под углом в отношении голени. Чаще всего их применяют в ночное время, чтобы осуществлять щадящее растяжение плантарной фасции. В процессе все полученные микроразрывы будут срастаться правильно и во время сна.
Компресс при боли
Возможные последствия и осложнения
Если говорить о возможных осложнениях от плантарного фасциита, то к таковым можно условно отнести следующие состояния:
- Перелом остеофита;
- Разрыв плантарной фасции;
- Хронический болевой синдром.
Если же говорить об осложнениях, которые могут проявиться после операции, то к таковым относятся:
- Тарзальная форма туннельного синдрома;
- Неврома;
- Рецидивные боли в пятке;
- Ухудшение симптоматики пяточной шпоры;
- Инфицирование раны.
Дать точные прогнозы насчет последствий от операции никто не сможет, но вот без реального лечения патологии осложнения от фасциита развиваются так или иначе практически у всех, приводя к снижению качества жизни и практически к инвалидности.
Прогноз
Прогнозы при плантарном фасциите относительные.
С одной стороны лечение можно провести вполне успешно и консервативными методиками, но при этом важно четко соблюдать рекомендации врача – от ношения ортопедических изделий и до применения физиотерапевтических манипуляций строго по графику.
В таком случае нередко удавалось размягчить остеофиты и привести к их самостоятельному рассасыванию. Но если ткани уже изменились в области фасции, то тогда полное выздоровление невозможно.
Отзывы о лечении плантарном фасциите, смотрите в нашем видео:
Частые вопросы
Как лечат Плантарный фасциит?
Уменьшить время нахождения в позиции «стоя» и длительность ходьбы. Обычно это помогает добиться снижения выраженности боли за 6 мес. ЛФК. Носить ортопедические стельки, подпяточники. Иммобилизация. Инъекции кортикостероидов.
Что такое Плантарный фасциит симптомы?
Плантарный фасциит или апоневроз – плотный соединительнотканный тяж, идущий от пяточной кости до оснований пальцев стопы. Плантарный фасциит развивается в точке прикрепления фасции к пяточной кости. Его основная функция – поддерживать свод стопы. На стопу приходится самая высокая нагрузка, создаваемая весом всего тела.
Сколько времени проходит Плантарный фасциит?
Несмотря на то что подошвенный фасцит обычно проходит, не создавая долгосрочных проблем, он может продлиться от 6 до 18 месяцев. Возможно, вам потребуется принимать лекарство, чтобы уменьшить боль и снять отек.
Как избавиться от боли в Фасциита?
Для снижения боли используют анальгетики, как парацетамол или нестероидные противовоспалительные препараты, упражнения на растяжку стопы и голени, кинезиотерапию. Также для облегчения боли используют ортопедическую обувь или обувь с мягкой подошвой.
Полезные советы
СОВЕТ №1
При появлении болей в области пятки и стопы обратитесь к врачу для точного диагноза и назначения лечения. Не занимайтесь самолечением, так как неправильные меры могут усугубить состояние.
СОВЕТ №2
При диагнозе плантарного фасциита следуйте рекомендациям врача относительно лечения: возможно, потребуется ношение ортопедических стелек, физиотерапия, упражнения для укрепления мышц стопы.
СОВЕТ №3
Помимо назначенного лечения, регулярно делайте упражнения на растяжку и укрепление плантарной фасции, чтобы предотвратить рецидивы заболевания.







